ホワイトニングについて

白く美しい歯がつくる素敵な笑顔
ホワイトニング剤を塗布することで、歯の表面の黄ばみ色素を分解して歯を漂白していきます。歯科医院で行うオフィスホワイトニングと、家で行うホームホワイトニング、オフィスとホームを両方行うデュアルホワイトニングなどの方法があります。
当院のホワイトニング
メニューについて

ホームホワイトニング
患者さま専用のマウスピースを製作し、患者さま自身がマウスピースの中にホワイトニングジェルを入れて、家で毎日一定時間装着して漂白する方法です。

オフィスホワイトニング
歯科医院にて漂白を行う方法です。歯の表面に高濃度の薬液を塗布し、光を照射して歯の着色成分を変化させることで黄ばみを改善する方法です。
デュアルホワイトニング
プロによるオフィスホワイトニング、ご自宅でのホームホワイトニングを併用することで、より高い効果を得られるホワイトニング方法です。
ホームホワイトニング

ホームホワイトニングの
メリットとデメリット
メリット
- オフィスホワイトニングに比べて薬液の濃度が低いため、刺激が少なく知覚過敏が出づらい
- 時間をかけて白くするため、後戻りも少なく、効果が長持ちすることが多い
- ご自宅で好きな時間に施術ができ、お薬の補充以外で通院していただく手間がない
デメリット
- 白くなるまでにかかる時間が長く、やや手間がある
- 1回では白くなりづらい
※1〜2週間前にクリーニングを先にさせていただいた方がより効果が出ます。
歯のクリーニングホームホワイトニングの流れ
-
術前の写真撮影
現状の歯のお色味をチェックし、記録します。
-
型取り
ホームホワイトニングはご自宅でマウスピースを使用して行うタイプのホワイトニングになります。専用のマウスピースを作成するため、型取りをさせていただきます。
-
ホワイトニング用マウスピース
お渡し約1週間でマウスピースが完成しますので、マウスピースと薬液をお渡しします。「マウスピースが早くほしい」など、諸事情があり時間的な制約がある方はご相談くださいませ。
-
薬液追加
数日~数週間使っていただいた後に効果をもう少し伸ばしたい方や、薬液が足りなくなってしまった方はご来院いただけますと薬液を追加でご購入いただけます。
-
術後の写真撮影
ご希望の白さに近づいてきたら、お写真撮影をして術前後のお色味の変化を確認しましょう。
オフィスホワイトニング

オフィスホワイトニングの
メリットとデメリット
メリット
- 1回で白くなる確率が高い
- 白くなるまでにかかる時間が短く手間がない
デメリット
- 薬液の濃度が高いため、知覚過敏が出る可能性がある
- 時間がたてばなじむが、施術したてでは白目立ちする部分がある
※1〜2週間前にクリーニングを先にさせていただいた方がより効果が出ます。
歯のクリーニングオフィスホワイトニングの流れ
-
術前の写真撮影
現状の歯のお色味をチェックし、記録します。
-
ポリッシング
歯の表面の汚れを取って綺麗にします。薬液が染みこみやすくします。
-
歯肉保護
薬液が歯肉につかないように保護します。
-
ホワイトニングジェル塗布
当院では光照射をしないタイプの薬液を用いております。光照射をしなくても効果が強い薬液になっており、メーカー推奨の時間セット(12分 × 3)で施術を進めます。知覚過敏が強く出てしまったら途中で施術を中断することもございます。
-
術後仕上げのポリッシング
ホワイトニングした歯の表面を滑らかに保護いたします。トリートメントする感覚と似ています。
-
フッ素塗布
知覚過敏予防でフッ素を塗らせていただきます。これは虫歯予防にもなります。
-
術後の写真撮影
術前の写真と比較し、歯のお色味の変化を確認します。
ホワイトニングの料金について

| オフィスホワイトニング① | 49,500円 |
|---|---|
| ホームホワイトニング | 33,000円 |
| デュアルホワイトニング | 66,000円 |
| オフィスホワイトニング② (オフィスホワイトニング 2回セット) |
88,000円 |
ホワイトニング後の注意点

飲食について
- ホワイトニング直後は、酸性食品・飲料の接種を控えてください
- 24時間は色の濃い飲食物の接種、色の濃いうがい薬の使用は避けてください
- 24時間は喫煙を控えてください
知覚過敏について
- 歯がしみてしまうことがありますが、一時的であることがほとんどですのでご安心ください
- 長引いたり、症状が悪化してしまうようであればご連絡くださいませ
メインテナンスについて
- ホワイトニングの効果を維持するためには定期的なメインテナンスを推奨しております
- ホワイトニングは色が後戻りしてしまうことがあるといわれていますが、追加でオフィスホワイトニングやホームホワイトニングをすること(タッチアップ)で、白さを長期間維持することができます
その他
- 白濁やホワイトスポット(点々と白く抜ける感じ)が最初に目立つことがありますが時間とともになじみます
ホワイトニング症例
CASE 1
治療前
治療後
| 主訴 | 右下3本セラミック矯正をするから先に歯の色味のトーンをあげたい |
|---|---|
| 治療期間 | 2週間 |
| 治療費用 | ¥88,000 |
| 治療内容 | オフィスホワイトニング② (オフィスホワイトニング2回セット) |
| 治療のリスク | 歯の色味の後戻りの可能性があります。 一時的に知覚過敏の症状が出る可能性があります。 |
| 担当衛生士から | こちらの患者様はホワイトニング後の歯の色味を維持していきたいとのことだったので、6ヶ月に1回オフィスホワイトニング②を行っております。定期的にホワイトニングを行うことで、白さが長持ちしやすくなります。 歯科衛生士 須賀 |
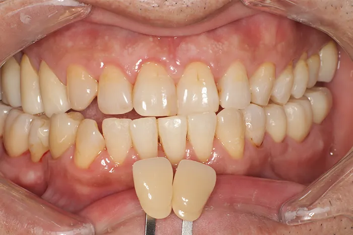
CASE 2
治療前
治療後
| 主訴 | 左下前歯、インプラントの被せ物(上部構造)入れる前に自身の歯を白くして、それに合わせた被せものを入れたい |
|---|---|
| 治療期間 | 2週間 |
| 治療費用 | ¥66,000 |
| 治療内容 | デュアルホワイトニング (オフィスホワイトニング1回 +ホームホワイトニング2週間) |
| 治療のリスク | 歯の色味の後戻りの可能性があります。 一時的に知覚過敏の症状が出る可能性があります。 |


