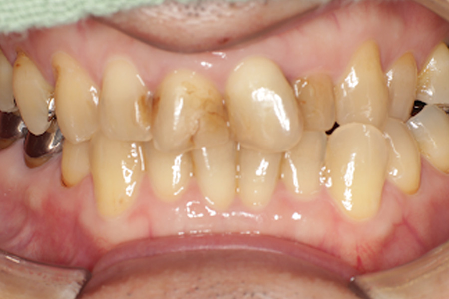
審美症例
治療前

治療後

主訴 | 前歯の詰め物の変色、見た目の改善 |
---|---|
治療期間 | 1ヶ月 |
治療費用 | ¥440,000 (内訳:ジルコニアクラウン×4歯) |
治療内容 | 前歯の全周を0.5〜1mm程削り、まずは仮歯を入れました。 仮歯の状態でかみ合わせや発音、唇との関係やスマイル時の歯の見え方など調整し、型取りをしました。 ジルコニアクラウンはお色味がポーセレン(陶材・セラミック)に比べて合いづらいというデメリットがありますが、このケースでは非常になじみが良いです。 ポーセレンを用いたクラウンの場合は、1本あたり5万円ほど差があるため、4本ですと20万円の差になってしまいます。 |
治療のリスク | 歯を削った後に一時的にお痛みが出る可能性があります。 |
ホワイトニング症例
治療前

治療後

主訴 | 結婚式までに歯を白くしたい |
---|---|
治療期間 | 約1カ月 |
治療費用 | 約¥40,000〜¥50,000 |
治療内容 | オフィスホワイトニングで一度しっかり歯を白くしてから、白さをなじます為(また、ホワイトニングの後戻り予防)でホームホワイトニングを追加で2週間~4週間行った症例。 オフィスホワイトニングとホームホワイトニングを併用しているので、ホワイトニングの効果がしっかり出ています。 |
治療のリスク | ホワイトニング後の知覚過敏が出てしまう可能性があります。 |