ホワイトニング症例集
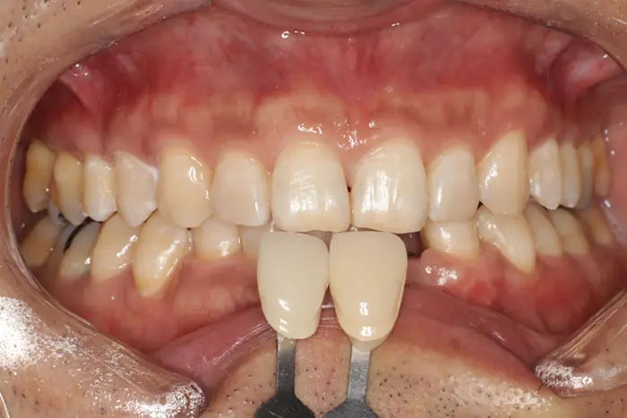
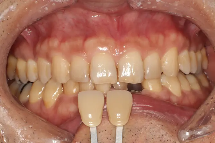
CASE 1
治療前
治療後
| 主訴 | ホワイトニングをしたい |
|---|---|
| 治療期間 | 2週間 |
| 治療費用 | ¥49,500 |
| 治療内容 | オフィスホワイトニング① |
| 治療のリスク | 歯の色味の後戻りの可能性があります。 一時的に知覚過敏の症状が出る可能性があります。 |
| 担当衛生士から | こちらの患者様は上顎前歯に、ご自身の歯より明るい色味のジルコニアクラウンを入れております。ジルコニアクラウンと天然歯の色味を全体的に調和させ、トーンアップした状態を維持していきたいとのことだったので2~3か月に1回のペースでオフィスホワイトニング①を継続されています。 歯科衛生士 須賀 |
CASE 2
治療前
治療後
| 主訴 | 歯のトーンを上げたい |
|---|---|
| 治療期間 | 2週間 |
| 治療費用 | ¥49,500 |
| 治療内容 | オフィスホワイトニング1回 |
| 治療のリスク | 歯の色味の後戻りの可能性があります。 一時的に知覚過敏の症状が出る可能性があります。 ホワイトスポットは色が濃くなることがあります。 |
| 担当衛生士から | こちらの患者様はホームホワイトニングも検討されています。 ホームホワイトニングをすると、色戻りを防ぐことや、自分のペースで色味を出すことが可能になります。 歯科衛生士 嶋村 |
CASE 3
治療前
治療後
| 主訴 | 右下3本セラミック矯正をするから先に歯の色味のトーンをあげたい |
|---|---|
| 治療期間 | 2週間 |
| 治療費用 | ¥88,000 |
| 治療内容 | オフィスホワイトニング② (オフィスホワイトニング2回セット) |
| 治療のリスク | 歯の色味の後戻りの可能性があります。 一時的に知覚過敏の症状が出る可能性があります。 |
| 担当衛生士から | こちらの患者様はホワイトニング後の歯の色味を維持していきたいとのことだったので、6ヶ月に1回オフィスホワイトニング②を行っております。定期的にホワイトニングを行うことで、白さが長持ちしやすくなります。 歯科衛生士 須賀 |
CASE 4
治療前
治療後
| 主訴 | 左下前歯、インプラントの被せ物(上部構造)入れる前に自身の歯を白くして、それに合わせた被せものを入れたい |
|---|---|
| 治療期間 | 2週間 |
| 治療費用 | ¥66,000 |
| 治療内容 | デュアルホワイトニング (オフィスホワイトニング1回 +ホームホワイトニング2週間) |
| 治療のリスク | 歯の色味の後戻りの可能性があります。 一時的に知覚過敏の症状が出る可能性があります。 |
CASE 5
治療前
治療後
| 主訴 | 結婚式までに歯を白くしたい |
|---|---|
| 治療期間 | 約1カ月 |
| 治療費用 | ¥66,000 |
| 治療内容 | オフィスホワイトニングで一度しっかり歯を白くしてから、白さをなじます為(また、ホワイトニングの後戻り予防)でホームホワイトニングを追加で2週間~4週間行った症例。 オフィスホワイトニングとホームホワイトニングを併用しているので、ホワイトニングの効果がしっかり出ています。 |
| 治療のリスク | ホワイトニング後の知覚過敏が出てしまう可能性があります。 |
CASE 6
治療前
治療後
| 主訴 | 歯の色味を自然な白さにしたい |
|---|---|
| 治療期間 | 2週間 |
| 治療費用 | ¥66,000 |
| 治療内容 | デュアルホワイトニング (オフィスホワイトニング1回 +ホームホワイトニング2週間) |
| 治療のリスク | 歯の色味の後戻りの可能性があります。 一時的に知覚過敏の症状が出る可能性があります。 |
CASE 7
治療前
治療後
| 主訴 | 歯の色味のトーンを上げたい |
|---|---|
| 治療期間 | 2時間 |
| 治療費用 | ¥24,750 (お友達紹介キャンペーン使用で ホワイトニング50%OFF) ※定価 ¥49,500 ※現在お友達紹介キャンペーンは行なっておりません |
| 治療内容 | オフィスホワイトニング1回 |
| 治療のリスク | 歯の色味の後戻りの可能性があります。 一時的に知覚過敏の症状が出る可能性があります。 |
CASE 8
治療前
治療後
| 主訴 | ホームホワイトニングをしたい |
|---|---|
| 治療期間 | 2週間 |
| 治療費用 | ¥33,000 |
| 治療内容 | ホームホワイトニング マウスピースを作成してご自宅で行うホワイトニングです。 |


